今天给大家分享一下关于我日常的口腔护理用品。我自从来美国之后,对牙齿健康的问题越来越重视了。之前在国内从来没有注意过牙齿,从而导致牙齿出现了各种问题。先说一说为什么我对牙齿很重视吧,那得归功于我在美国牙医上做很大的贡献!
我来美国四年,花牙齿上花了大笔的金钱和时间,导致我对牙齿问题特别敏感和重视。在国内有两颗蛀牙,最后很严重就拔掉了,然而国内牙医不是很流行,大家对牙齿也没有那么重视,所以当时国内的诊所医生给我定的方案是拔了牙齿,做个搭桥(意思就是把拔掉这颗牙齿前后两颗牙磨掉一些做个冠盖上从而搭一颗牙齿在中间)。做了n年之后来到美国,总感觉牙齿有问题,最后找了一个老外的牙医之后,医生说都是我那个牙齿导致的口腔问题,如口腔不干净因为那个搭桥粗糙,导致各种食物堵塞;有的牙齿牙龈萎缩,吃冰或热的食物敏感;我如果在严重下去久了年纪轻轻的就会有牙周病。医生说,这种牙齿的做法美国从来都不允许,不允许在破坏好的牙齿基础上去进行做其他的!最后没办法了,就在这家诊所值了两颗牙,做了四个独立的牙冠,花了一大笔银子💰而且我也不想年纪轻轻的牙齿就各种问题。从那以后,我的牙齿日常严格的护理之路就开始了。
被推过无数遍的女神电动牙刷,我也是做了牙齿之后黑五在Kohls 买的,因为我的牙齿比较敏感,所以我只用sensitive档。我个人认为电动牙刷的好处就是可以让你刷牙刷到一定的时间和刷的更仔细,从而真正的清理到口腔。
我们一般用的牙刷是自己刷,一般我刷不到一分钟就草草结束了,而这个牙刷就很好的让我们真正的达到刷牙的时间和效果。 这个牙刷很省电,充一次电可以用几个没问题,而且有两个充电器,一个旅行的一个玻璃杯的,超方便的。然而这个牙刷的缺点就是需要买无数的牙刷头,而且价格也不便宜,每三四个月左右就得换牙刷头。这个贵其实就贵在了牙刷头,不过一年也就用三四个,顶多三四十刀,比吃一点饭划算多了,想想这就不贵了。贵其实就是和一般两三块钱牙刷相比会贵,不过与自己的消费水平来说还是可以承担的。此款产品相当推荐!
Water flosser,中文翻译成水线??黑人问号❓这个是我在植牙时在牙医诊所买的,忘了具体花了多少钱了,不到一百刀。之所以买这个是因为我植牙了要重这个清洁口腔和牙齿最好,需要双氧水和水1:1的比例,每天一到两次,我一般都是早晚上刷完牙用。
这个比一般牙线好的地方是这个是用双氧水和水来清理,直接的清理了口腔消了毒的感觉,而且这个有不同的档位来控制水的速度,清理的更干净比一般的牙线。不好的地方就是必须插电能用,不方便携带,尤其旅游出门什么的就不会带它。这个也是需要一定时间换头的,所以间接的又是一比消费,不过为了牙齿,什么都可以的。
Costco买的双氧水,超便宜的。这个是用于图上的那个water flosser 的,与水1:1的比例来清洁口腔和牙齿缝隙。
Costco 牙线,一般六个装。一版也是用好久,我各个包里,车上都必有一个,因为省的来回来去的换了。这个携带好方便,每次吃完饭就去厕所清理一下口腔,让牙齿保持最基本的干净。牙线是美国牙医推荐每个人必须用的,每次去洗牙,牙医就会问用牙线吗?不会用它还给你示范教你怎么用,因为牙线对我们的牙齿非常重要,一些我们牙刷清理不到的东西都得需要牙线,尤其牙龈那个pocket里面会经常积累东西,而且洗牙也是主要清理这些地方。牙线会让牙齿更加健康。我是一般吃早午晚饭就会去厕所清理一下,一天基本三次用牙线。
漱口水,Costco 的漱口水,一次就买两大桶,我好像是Costco常客啊,忠实粉丝。无论什么牌子的漱口水都可以,但是一!定!要!用!
漱口水多少会清理口腔细菌,我们一天天吃的东西都在口腔里留有残余,而那些是我们看不到的,想想我们的小白牙怎能受的了这些细菌的侵蚀,所以漱口水就可以帮我们解决一下这个问题,虽然不是全能,但最起码比不用好很多。漱口水我一般早晚各一次,出门旅游的时候也会带上一矿泉水瓶,坐飞机的话一般都是到本地买小瓶的。我是离不开漱口水,感觉不用它,牙齿总会不干净。
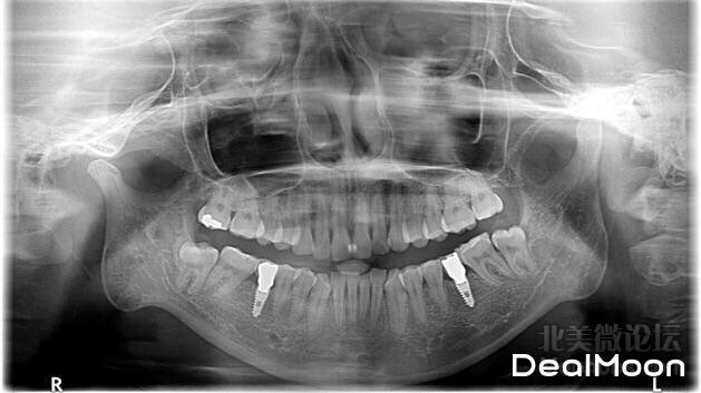
希望这张图不会吓到大家,这是我拔下边两颗智齿前拍的X光。那个两个异样的就是植得两颗牙齿。对于智齿来说,一定看医生要不要拔。我是等到长出来之后天天痛,才知道有智齿了,去看医生后,我的智齿离前边牙齿很近,时间久了会影响前边的牙齿,比如牙齿松动问题。最后一下两颗都拔出来了。你问我痛不痛,我会说手术中不同,甚至说我都不知道,因为是全麻的手术。但是等醒来之后,麻药劲过了,我的妈呀,疼了一天,而且也不能吃东西,只能吃流食。麻药劲也是一天才全下去,太强了。拔智齿之后一定要注意的是从医生那里要一个清理伤口的针管,有些医生不主动给。因为拔了智齿后后有个大洞,吃东西会近东西,这时候就需要这个东西用水冲出来,要不会感染,长时间不能愈合起来。整体来说现在我的牙齿已经很好了,医生说除了下边有几个牙齿不太整齐之外,不过完全看不出来。
一口气写了这么多,也有些佩服我自己了,希望能上精华帖
君君提示:现在你也可以写原创文章,点此查看详情 >>
本文著作权归作者本人和北美省钱快报共同所有,未经许可不得转载。文章仅代表作者看法,如有更多内容分享或是对文中观点有不同见解,省钱快报欢迎您的投稿。
最新评论 12
: 好棒 好棒
: 我年轻时也回国弄好牙桥,拔了两只牙,现在都弄坏4只好牙,烦恼透,一吃炸的食物就牙疼😂😂,你植牙多少钱一只?之前我去牙医问过,挺贵的,保险不能全包 我年轻时也回国弄好牙桥,拔了两只牙,现在都弄坏4只好牙,烦恼透,一吃炸的食物就牙疼😂😂,你植牙多少钱一只?之前我去牙医问过,挺贵的,保险不能全包
: 我值了两个就是拔掉的那两颗,剩下的那四个带了独立的牙冠,都和自己的牙齿一样看起来,所有下来花了一万二美金,没保险 我值了两个就是拔掉的那两颗,剩下的那四个带了独立的牙冠,都和自己的牙齿一样看起来,所有下来花了一万二美金,没保险
回复 @孙二娘她妹 : 我保险很少,自己也付万元以上 我保险很少,自己也付万元以上
: 有没有什么好用的牙膏可以推荐一下 有没有什么好用的牙膏可以推荐一下
: 我用的是sensodyne, Costco 有卖,比较温和尤其对我这种敏感牙齿 我用的是sensodyne, Costco 有卖,比较温和尤其对我这种敏感牙齿
: 请问有没有不那么辣的漱口水推荐?我也用你写到的这个,但是太辣了。每次我都觉得整个口腔都辣的在抖,都能流眼泪。😂😂😂日本的但是温和,可是太贵啦,20多刀那么一瓶,用不了多长时间 请问有没有不那么辣的漱口水推荐?我也用你写到的这个,但是太辣了。每次我都觉得整个口腔都辣的在抖,都能流眼泪。😂😂😂日本的但是温和,可是太贵啦,20多刀那么一瓶,用不了多长时间
: 我觉得用的还好,尤其一直用,辣我觉得口腔越赶紧越不辣,刷好牙,再用牙线清理完在漱口 我觉得用的还好,尤其一直用,辣我觉得口腔越赶紧越不辣,刷好牙,再用牙线清理完在漱口
: 可以用儿童的嘛?我之前也是觉得太辣了,用了儿童版的就不会。 可以用儿童的嘛?我之前也是觉得太辣了,用了儿童版的就不会。